Về chúng tôi
Trung Tâm Vật Lý Trị Liệu Tiền Giang
Trung tâm Vật Lý Trị Liệu Tiền Giang là một cơ sở y tế uy tín với hơn 16 năm kinh nghiệm trong lĩnh vực vật lý trị liệu - phục hồi chức năng. Trong suốt thời gian hoạt động, chúng tôi đã điều trị thành công cho hơn 5000 bệnh nhân, giúp họ hồi phục sau chấn thương, phẫu thuật, và các vấn đề cơ xương khớp mãn tính, thoái hóa và thoát vị cột sống. Với đội ngũ bác sĩ và chuyên viên giàu kinh nghiệm, trung tâm cung cấp các liệu pháp điều trị đa dạng. Trung tâm được trang bị các thiết bị tiên tiến, không gian thoải mái, đảm bảo môi trường điều trị hiệu quả và an toàn cho mọi đối tượng bệnh nhân. Nhờ vào sự tận tâm và chuyên nghiệp, Trung tâm Vật Lý Trị Liệu Tiền Giang đã trở thành một địa chỉ tin cậy cho người dân trong khu vực tìm kiếm sự hỗ trợ về sức khỏe và phục hồi chức năng.
Dịch vụ
Trung Tâm Vật Lý Trị Liệu Tiền Giang
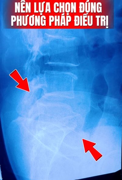
ĐIỀU TRỊ THOÁT VỊ ĐĨA ĐỆM CỔ VÀ LƯNG
Thoát vị đĩa đệm cột sống cổ (Cervical Disc Herniation) và cột sống thắt lưng (Lumbar Disc Herniation) là những bệnh lý cơ xương khớp mang tính thời đại. Bản chất của bệnh lý này là sự suy giảm cấu trúc bao xơ, khiến nhân nhầy (Nucleus Pulposus) thoát vị ra ngoài, gây chèn ép cơ học trực tiếp lên rễ thần kinh và tủy sống.
Tại Trung Tâm Vật Lý Trị Liệu Tiền Giang, với nền tảng chuyên sâu trong lĩnh vực phục hồi chức năng, chúng tôi mang đến giải pháp điều trị toàn diện: Không dùng thuốc – Không phẫu thuật – Giải nén cột sống tầng sâu.
ĐIỀU TRỊ THOÁI HÓA CỘT SỐNG CỔ VÀ LƯNG
Thoái hóa cột sống cổ và lưng là tình trạng suy giảm cấu trúc và chức năng đĩa đệm, khớp và dây chằng cột sống, dẫn đến đau nhức, tê bì, giảm vận động, thậm chí có thể gây chèn ép dây thần kinh. Bệnh có thể tiến triển âm thầm và ảnh hưởng nghiêm trọng đến chất lượng cuộc sống nếu không được điều trị kịp thời
ĐIỀU TRỊ ĐAU CỔ VAI GÁY
Hội chứng cổ vai gáy (Cervicobrachial Syndrome) không đơn thuần là cảm giác mỏi cơ thông thường do làm việc quá sức. Đây là biểu hiện lâm sàng của sự rối loạn hệ thống thần kinh - cơ - xương khớp vùng cột sống cổ. Nếu không được chẩn đoán và can thiệp đúng căn nguyên, bệnh lý này rất nhanh tiến triển thành các biến chứng cấu trúc nghiêm trọng như thoái hóa cột sống cổ, rách bao xơ hay thoát vị đĩa đệm chèn ép rễ thần kinh.
Tại Trung Tâm Vật Lý Trị Liệu Tiền Giang, với hơn 8 năm chuyên sâu trong lĩnh vực Phục hồi chức năng và kinh nghiệm lâm sàng thực tế trên 3.500 ca bệnh, chúng tôi mang đến một giải pháp toàn diện: Không dùng thuốc – Không phẫu thuật – Giải tỏa co thắt cơ và giải nén thần kinh tầng sâu.
ĐIỀU TRỊ VIÊM CHU VI VAI – ĐAU KHỚP VAI
Viêm chu vi vai (Periarthritis humeroscapularis) là tình trạng viêm và tổn thương các mô mềm xung quanh khớp vai, bao gồm gân, cơ, bao khớp và dây chằng. Bệnh có thể gây đau nhức dữ dội, hạn chế tầm vận động và ảnh hưởng nghiêm trọng đến sinh hoạt hàng ngày
ĐIỀU TRỊ THOÁI HÓA KHỚP GỐI
Thoái hóa khớp gối không chỉ là câu chuyện của tuổi tác, mà là một quá trình tổn thương cấu trúc sụn và xương dưới sụn mang tính mãn tính. Nếu không được can thiệp đúng cách và kịp thời, bệnh lý này sẽ dẫn đến nguy cơ tàn phế, làm suy giảm nghiêm trọng chất lượng cuộc sống.
Tại Trung Tâm Vật Lý Trị Liệu Tiền Giang, với nền tảng chuyên sâu trong lĩnh vực phục hồi chức năng, chúng tôi mang đến giải pháp điều trị toàn diện: Không dùng thuốc – Không phẫu thuật – Nhắm trúng đích tổn thương.
ĐIỀU TRỊ SUY GIÃN TĨNH MẠCH CHÂN
Suy giãn tĩnh mạch chân là tình trạng hệ thống tĩnh mạch bị suy yếu, mất khả năng đưa máu về tim hiệu quả, dẫn đến ứ đọng máu, gây đau nhức, phù nề, chuột rút và cảm giác nặng chân. Nếu không được điều trị đúng cách, bệnh có thể tiến triển nghiêm trọng, gây viêm loét, huyết khối tĩnh mạch sâu, thậm chí nguy hiểm đến tính mạng.
ĐIỀU TRỊ GAI GÓT CHÂN
Gai gót chân là tình trạng hình thành các mỏm xương nhỏ ở mặt dưới xương gót, gây đau nhức và khó chịu khi đi lại. Nguyên nhân chính thường do áp lực kéo dài lên cân gan chân (fascia), viêm gân gót hoặc thoái hóa xương khớp gót chân
ĐIỀU TRỊ HỘI CHỨNG ỐNG CỔ TAY – TÊ BÀN TAY
Hội chứng ống cổ tay là tình trạng chèn ép dây thần kinh giữa tại ống cổ tay, gây ra các triệu chứng tê bì, đau nhức và yếu lực bàn tay. Bệnh thường gặp ở người làm việc văn phòng, người sử dụng tay nhiều như thợ may, bác sĩ, công nhân, nội trợ… và có thể trở nặng nếu không điều trị kịp thời
ĐIỀU TRỊ PHỤC HỒI CHỨC NĂNG CHO BÉ BỊ VẸO CỔ BẨM SINH
Vẹo cổ bẩm sinh (Congenital Muscular Torticollis) là tình trạng co rút một bên cơ ức đòn chũm, khiến cổ của bé bị nghiêng sang một bên và xoay mặt về phía đối diện. Nếu không điều trị sớm, tình trạng này có thể gây biến dạng vĩnh viễn, ảnh hưởng đến sự phát triển của hệ cơ xương, gây mất cân đối khuôn mặt và hạn chế vận động cổ.
TẬP LUYỆN PHỤC HỒI CHỨC NĂNG SAU GÃY XƯƠNG
Chấn thương là điều không ai mong muốn, nhưng khi xảy ra, việc phục hồi chức năng đúng cách và kịp thời là yếu tố quyết định để bạn có thể nhanh chóng trở lại với cuộc sống thường ngày
PHỤC HỒI CHỨC NĂNG SAU TAI BIẾN MẠCH MÁU NÃO
Tai biến mạch máu não (đột quỵ) là nguyên nhân hàng đầu gây ra tàn phế vĩnh viễn nếu không được can thiệp đúng cách và kịp thời. Bệnh nhân sau tai biến có thể gặp phải liệt nửa người, suy giảm nhận thức, mất khả năng nói, mất thăng bằng và rối loạn vận động. Việc tập phục hồi chức năng sớm ngay khi tình trạng bệnh nhân ổn định là yếu tố quyết định đến khả năng hồi phục, giúp bệnh nhân lấy lại khả năng vận động và hạn chế tối đa di chứng lâu dài.
Nhiều gia đình có thói quen bấm huyệt hoặc châm cứu sau tai biến mà không tập phục hồi chức năng, điều này không giúp bệnh nhân cải thiện vận động mà còn làm mất đi giai đoạn vàng của quá trình hồi phục. Các bệnh viện lớn như Bệnh viện Đại học Y Dược TP.HCM và Bệnh viện 115 đã khuyến cáo rằng bệnh nhân sau tai biến cần được tập phục hồi chức năng thay vì châm cứu hay bấm huyệt
TẬP VẬN ĐỘNG CHO TRẺ CHẬM PHÁT TRIỂN
Tập vận động đóng vai trò quan trọng trong sự phát triển thể chất và trí tuệ của trẻ. Đối với trẻ chậm phát triển, tập luyện đúng phương pháp không chỉ giúp cải thiện khả năng vận động mà còn hỗ trợ phát triển nhận thức, ngôn ngữ và giao tiếp. Tuy nhiên, việc tập sai hoặc bỏ lỡ giai đoạn vàng có thể khiến trẻ không phát triển toàn diện, thậm chí mất đi cơ hội phục hồi tối ưu.
TẬP LUYỆN PHỤC HỒI CHỨC NĂNG SAU MỔ TÁI TẠO DÂY CHẰNG
Phẫu thuật tái tạo dây chằng (đặc biệt là dây chằng chéo trước gối, dây chằng chéo sau, hoặc dây chằng cổ chân) giúp khớp ổn định hơn sau chấn thương. Tuy nhiên, quá trình phục hồi không tự động diễn ra mà cần một chương trình tập luyện chính xác để khớp có thể vận động trở lại bình thường
TẬP VẬN ĐỘNG CHO NGƯỜI CAO TUỔI
Khi tuổi tác càng cao, cơ thể trải qua nhiều thay đổi, bao gồm suy giảm sức mạnh cơ bắp, thoái hóa khớp, giảm mật độ xương và suy yếu hệ tuần hoàn. Điều này dẫn đến nguy cơ hạn chế vận động, mất thăng bằng, tăng nguy cơ té ngã và đau nhức xương khớp kéo dài
ĐIỀU TRỊ LIỆT MẶT DO VIÊM DÂY THẦN KINH SỐ 7
Liệt mặt do viêm dây thần kinh số 7 (hay liệt dây thần kinh mặt số VII) là tình trạng mất kiểm soát vận động cơ mặt, gây méo miệng, khó cử động cơ mặt, giảm khả năng nhắm mắt và ảnh hưởng đến giao tiếp, thẩm mỹ. Bệnh có thể xảy ra đột ngột hoặc tiến triển dần theo thời gian
ĐIỀU TRỊ VIÊM GÂN DUỖI NGÓN CÁI
Viêm gân duỗi ngón cái, còn gọi là viêm gân De Quervain, là tình trạng viêm và sưng bao gân của hai gân duỗi ngắn ngón cái (EPB) và dạng dài ngón cái (APL) khi đi qua vùng cổ tay. Tình trạng này gây đau nhức, hạn chế vận động và giảm khả năng cầm nắm
ĐIỀU TRỊ NGÓN TAY CÒ SÚNG
Ngón tay cò súng (Trigger Finger) là tình trạng viêm và dày lên của bao gân gấp ngón tay, khiến ngón tay bị mắc kẹt ở tư thế gập và khó duỗi ra. Khi cố gắng duỗi, ngón tay có thể bật mạnh giống như cò súng, gây đau nhức, khó chịu và giảm khả năng cầm nắm.
Vì sao
Vì sao chọn chúng tôi
Với hơn 15 năm kinh nghiệm làm việc trong lĩnh vực Vật lý trị liệu - Phục hồi chức năng, đã điều trị cho hơn 5000 ca bệnh, chúng tôi tự hào sẽ mang đến dịch vụ điều chị chuyên nghiệp và toàn diện nhất cho bệnh nhân

Bộ sưu tập
Hình ảnh khách hàng

Tin tức - Ưu đãi
Bài viết được cập nhật mới
VẸO CỔ BẨM SINH - CHÚC MỪNG CON ĐÃ PHỤC HỒI HOÀN TOÀN SAU 15 BUỔI ĐIỀU TRỊ
VẸO CỔ BẨM SINH - CHÚC MỪNG CON ĐÃ PHỤC HỒI HOÀN TOÀN SAU 10 BUỔI ĐIỀU TRỊ
VẸO CỔ BẨM SINH - CHÚC MỪNG CON ĐÃ PHỤC HỒI HOÀN TOÀN!
VẸO CỔ BẨM SINH - CHÚC MỪNG CON ĐÃ PHỤC HỒI HOÀN TOÀN SAU 15 BUỔI ĐIỀU TRỊ
VẸO CỔ BẨM SINH - CHÚC MỪNG CON ĐÃ PHỤC HỒI HOÀN TOÀN SAU 10 BUỔI ĐIỀU TRỊ
VẸO CỔ BẨM SINH - CHÚC MỪNG CON ĐÃ PHỤC HỒI HOÀN TOÀN!
[CẢNH BÁO] TẠI SAO NẰM XEM ĐIỆN THOẠI LẠI GÂY ĐAU CỔ VAI GÁY NHANH HƠN?
CHÚC MỪNG - ĐIỀU TRỊ PHỤC HỒI CHỨC NĂNG SAU MỔ TÁI TẠO DÂY CHẰNG
ĐÂY LÀ KẾT QUẢ SAU 10 LẦN ĐIỀU TRỊ TẠI TRUNG TÂM
[CẢNH BÁO] MẤT KHẢ NĂNG ĐI LẠI VÌ ĐIỀU TRỊ THOÁT VỊ ĐĨA ĐỆM SAI CÁCH
Bài viết khác
VẸO CỔ BẨM SINH - CHÚC MỪNG CON ĐÃ PHỤC HỒI HOÀN TOÀN SAU 15 BUỔI ĐIỀU TRỊ
VẸO CỔ BẨM SINH - CHÚC MỪNG CON ĐÃ PHỤC HỒI HOÀN TOÀN SAU 10 BUỔI ĐIỀU TRỊ
VẸO CỔ BẨM SINH - CHÚC MỪNG CON ĐÃ PHỤC HỒI HOÀN TOÀN!
[CẢNH BÁO] TẠI SAO NẰM XEM ĐIỆN THOẠI LẠI GÂY ĐAU CỔ VAI GÁY NHANH HƠN?
CHÚC MỪNG - ĐIỀU TRỊ PHỤC HỒI CHỨC NĂNG SAU MỔ TÁI TẠO DÂY CHẰNG
ĐÂY LÀ KẾT QUẢ SAU 10 LẦN ĐIỀU TRỊ TẠI TRUNG TÂM
[CẢNH BÁO] MẤT KHẢ NĂNG ĐI LẠI VÌ ĐIỀU TRỊ THOÁT VỊ ĐĨA ĐỆM SAI CÁCH
TEO CƠ CHÂN SAU CHẤN THƯƠNG
VẸO CỔ BẨM SINH - CHÚC MỪNG CON ĐÃ TỐT NGHIỆP!
Tin tức
VẸO CỔ BẨM SINH - CHÚC MỪNG CON ĐÃ PHỤC HỒI HOÀN TOÀN SAU 15 BUỔI ĐIỀU TRỊ
Bé đã phục hồi hoàn toàn sau 15 buổi điều trị, ba mẹ có con bị vẹo cổ thì sớm cho bé đến trung tâm để được điều trị hiệu quả, đầy đủ và chính xác nhé.
VẸO CỔ BẨM SINH - CHÚC MỪNG CON ĐÃ PHỤC HỒI HOÀN TOÀN!
Vẹo cổ bẩm sinh (u cơ ức đòn chũm) là tình trạng thường gặp ở trẻ sơ sinh. Tuy nhiên, thay vì đến các trung tâm chuyên khoa, nhiều phụ huynh chọn cách tự tập tại nhà. Điều này tiềm ẩn nhiều rủi ro và có thể dẫn đến những biến chứng không đáng có.
CHÚC MỪNG - ĐIỀU TRỊ PHỤC HỒI CHỨC NĂNG SAU MỔ TÁI TẠO DÂY CHẰNG
Đây là một bệnh nhân nữ người Nam Phi, người vừa đạt được sự phục hồi hoàn toàn sau lộ trình 20 buổi vật lý trị liệu hậu phẫu tái tạo dây chằng.
